齒顎矯正

竹北齒顎矯正推薦 | 晴美牙醫
您想改善齒列不正的困擾,找回舒適生活與自信笑容嗎?竹北齒顎矯正推薦您晴美牙醫!我們擁有豐富的齒顎矯正經驗,專業醫師團隊會依據您的牙齒狀況與需求,量身訂製最適合的治療計畫,讓齒顎矯正變得更安心、更有效率。
晴美牙醫提供多元齒顎矯正方案,包括自鎖式矯正、陶瓷美觀矯正等,滿足不同年齡與生活需求。透過專業評估與精準治療,我們幫助您改善牙齒排列、提升咬合功能,讓您的笑容更整齊、更自信。
竹北齒顎矯正推薦晴美牙醫—專業用心,守護您的笑容健康!
更多矯正案例和資訊請參考
林昇進醫師部落格
https://orthosclin.pixnet.net/blog
Fb粉專
自信笑容·側臉打造- 台大齒顎矯正碩士林昇進!
竹北齒顎矯正Q&A
什麼是牙齒矯正
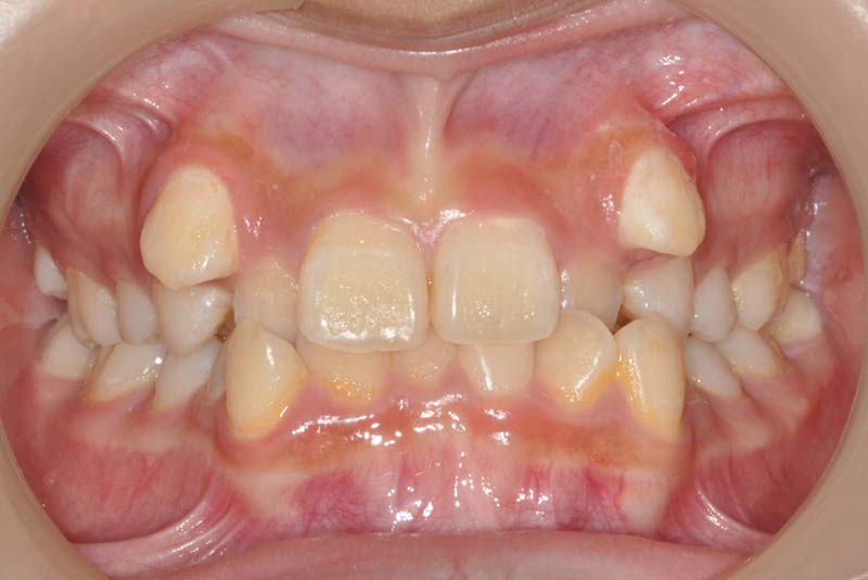
傳統牙齒矯正的原理是透過金屬矯正器、橡皮筋在患者的牙齒上施力,讓牙齒齒槽骨一側吸收、另一側再生,驅使牙齒移動並整齊排列的過程,牙齒矯正的主要目的是改善患者的凌亂牙齒、修復其咬合功能,並恢復其牙齒美觀性。
為何要接受齒顎矯正治療
齒列不正除了影響美觀、影響自信,更容易有蛀牙、牙周病、咀嚼功能不好、消化吸收不良、說話發音不準、臉型不好看等狀況,甚至有可能導致顳顎關節問題。
我們提供竹北隱形矯正(隱適美)、舌側矯正等齒顎矯正選擇,矯正前請與專業醫師諮詢討論自身需求與口腔狀況,選擇適合的矯正方式,我們讓您輕鬆矯正、簡單變美,重新找回自信笑容,享受美麗人生,晴美牙醫是您竹北隱形矯正絕佳選擇!
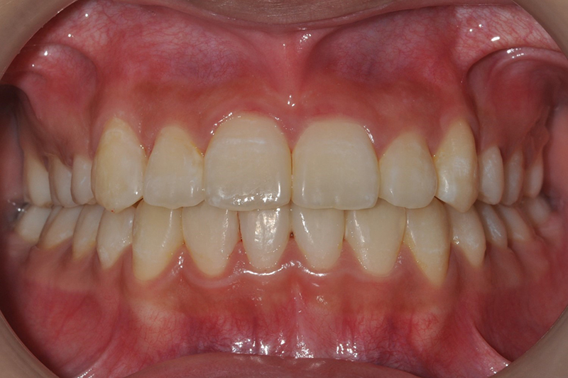
排列牙齒


外觀改善


齒列調整以利假牙製作 咀嚼功能改善


竹北隱形矯正/竹北齒顎矯正推薦-晴美牙醫
何時作矯正最好
不管是小孩或大人,作矯正都有其效果,重點在於病患的訴求。畢竟每個人的骨骼牙齒個別差異性很大,最好的方法,就是帶去給矯正醫師評估。本院擁有專業竹北齒顎矯正、竹北隱形矯正醫療團隊。矯正醫師依照個人的狀況,制定個人化的矯正計劃,除了可清楚地了解矯正所需的時間,同時也可預估出矯正所需之經費。
但是如果是有一些特殊的狀況,則需要早期治療,更多請閱讀此篇文章:林昇進醫師部落格
矯正一般需要治療多久
依照過往竹北齒顎矯正的案例與經驗,不拔牙案例約1年至1年半,拔牙案例通常需兩年左右,但有些較困難案例要到二、三年都屬正常,中間每3-4星期就診一次。
個人的差異性及困難度,是影響時間的主因
小孩因骨頭未完全成熟,牙齒通常比大人容易排列整齊,時間也較短。
病患以良好的態度與醫生密切配合,所花的時間也會較短。
治療完成後還需每3-6個月回診,順便作定期的口腔檢查。
矯正治療過程是否會有不適
近年來由於材料與技術的進步與改善,已經大幅降低了不舒適感。不過初期配戴竹北隱形矯正器需要稍微適應異物感,每個月定期的調整,若覺得有不適應及牙齒覺得酸軟無力,可改食流質或麵食等食物,大部份的病患在幾次後就適應了。此外,竹北齒顎矯正治療期間當然要特別注意口腔衛生的維護以免造成蛀牙,牙齒脫鈣或牙周發炎等問題。
矯正為什麼要照X光片
環口X光片的目的有下列幾點:
- 是否有蛀牙
- 牙齒的角度
- 檢測牙周是否健康
- 牙齒數目是否正常(是否有先缺牙或多生牙)
側顱X光片的目的評估齒槽骨、顎骨、牙齒、臉型...等等 是否可互相搭配。
醫師再根據上列X光片- 環口X光片 側顱X光片為基礎做整體性的考量,以訂定一個全方位的竹北齒顎矯正治療計畫,確保病人能有較好的治療成果。
矯正是否要拔牙
拔不拔牙是矯正醫師根據患者X光片,骨頭狀態,牙齒位置,角度,方向,臉型,及牙齒雜亂的程度作全方考量,才決定是否拔牙,並非矯正一定要拔牙。
迷你骨釘是什麼
環傳統的矯正治療常常以後牙、鄰近穩定的牙或是口外矯正裝置充當矯正錨定(不動的支撐點)來排列牙齒。然而有些病患牙齒缺失,牙齒因罹患牙周病支持組織不夠或是成年矯正病患不方便配戴口外矯正裝置,矯正的錨定不足會影響矯正的效果、時間與穩定性。目前臨床技術發展出將迷你骨釘放在牙床上,提供矯正時額外的錨定,提高了齒顎矯正的方便性與效果。
更多關於迷你骨釘的介紹,更多請閱讀此篇文章:林昇進醫師部落格

不同矯正器該如何選擇
其實矯正器都有將牙齒排列整齊的功能,但是像自鎖式矯正器的設計可以降低摩擦力降低不適感,且可以達到快速排齊的效果。透明矯正器則是較傳統金屬矯正器更為美觀。
而現在更有隱形矯正的方式,更多請閱讀此篇文章:林昇進醫師部落格
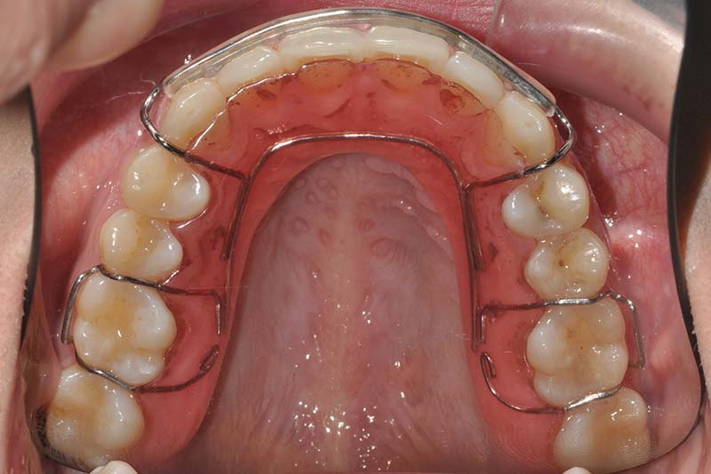
牙齒排整齊之後要如何維持呢
在移除口中的矯正器後並不表示治療已完成,還需要一段所謂的「維持期」。「維持期」的目的是穩定既得的成果,此時通常需裝置「維持器」。使用維持器的時間,通常建議拆除矯正器半年內全天配戴, 之後晚上睡覺時配戴即可。矯正完成後,有任何關於竹北齒顎矯正、竹北隱形矯正的問題,皆可洽詢晴美牙醫。若想了解實際案例,可參考齒顎矯正案例頁面。

