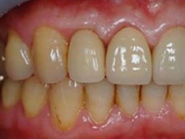
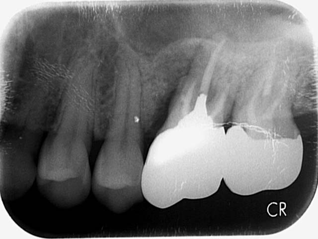
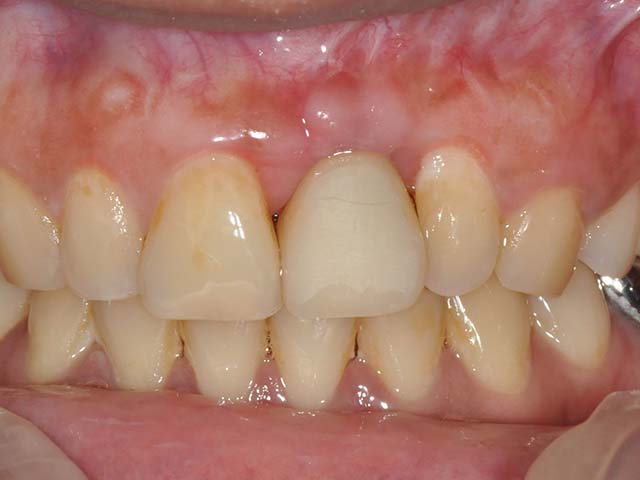
人工植牙 首頁 案例分享 人工植牙 前牙植牙 更多 牙橋嚴重蛀牙,即拔即種,避免二次傷口 更多 齒槽骨保存術+植牙 更多 前牙審美植牙 更多 微創植牙 更多 小臼齒植牙 更多 即拔即種 更多 鼻竇增高術(垂直)+植牙 更多 鼻竇增高術(側窗) 更多 «1»