即拔即種
即拔即種
孫先生右下角有一牙齒有嚴重蛀牙,經過診斷後,無法利用此牙根製作假牙,決定採取"即拔即種"的新做法,使用人工植體替代蛀蝕嚴重的牙根,三個月後,孫先生即擁有兼具美觀功能與耐久度的新牙齒了。
斷裂蛀蝕牙根
拔牙+植牙
六年追蹤
美觀功能良好
12年追蹤, 咀嚼與美觀功能良好
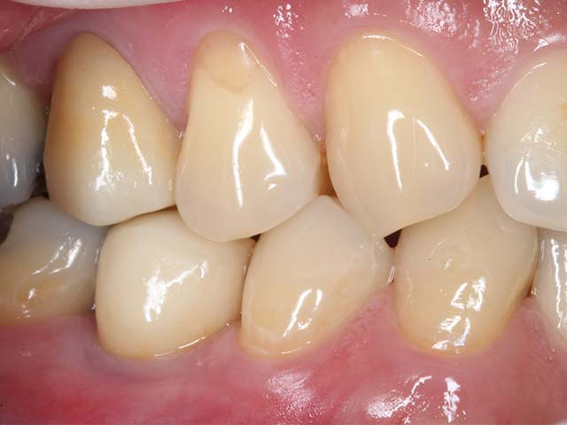
孫先生右下角有一牙齒有嚴重蛀牙,經過診斷後,無法利用此牙根製作假牙,決定採取"即拔即種"的新做法,使用人工植體替代蛀蝕嚴重的牙根,三個月後,孫先生即擁有兼具美觀功能與耐久度的新牙齒了。
斷裂蛀蝕牙根
拔牙+植牙
六年追蹤
美觀功能良好
12年追蹤, 咀嚼與美觀功能良好