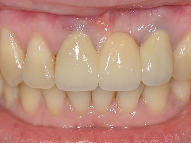
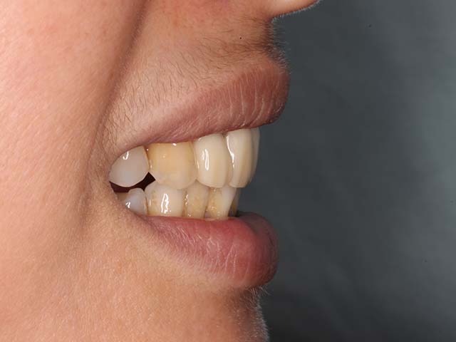
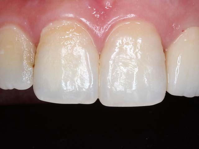
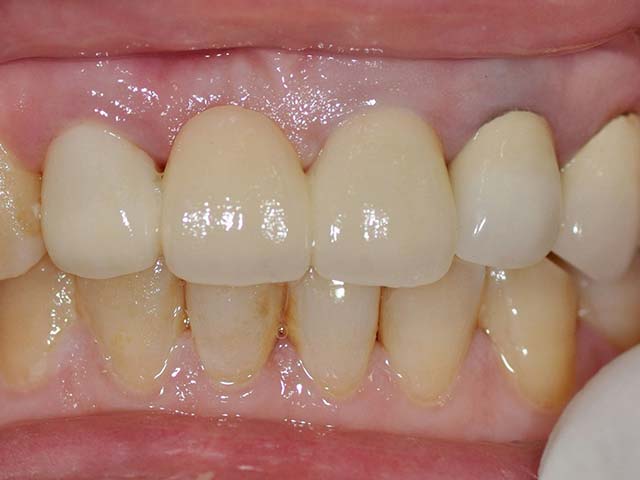
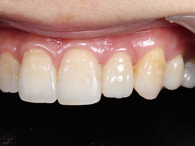
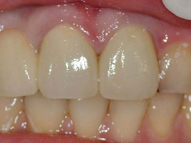
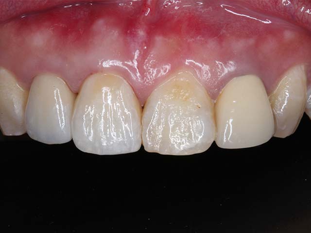
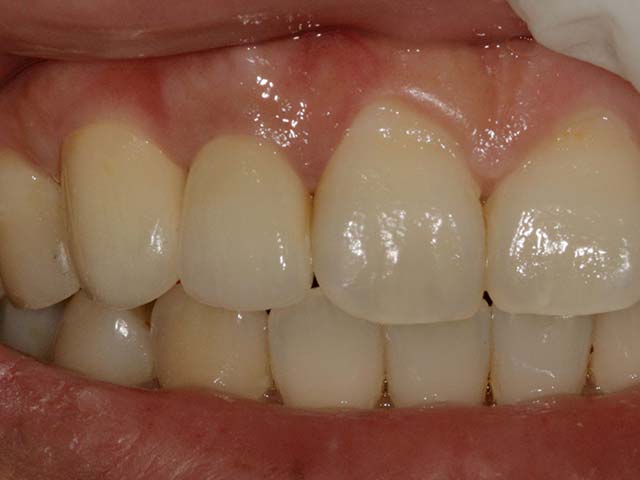
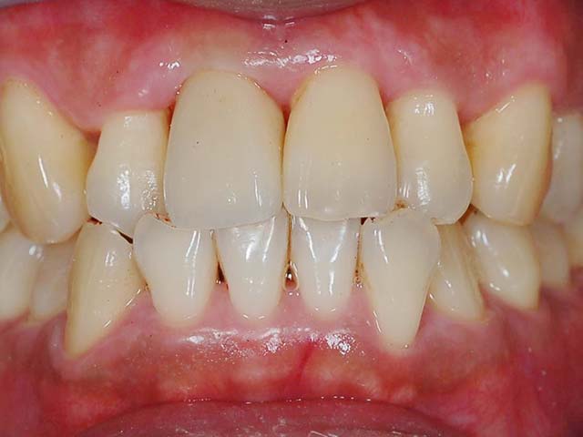
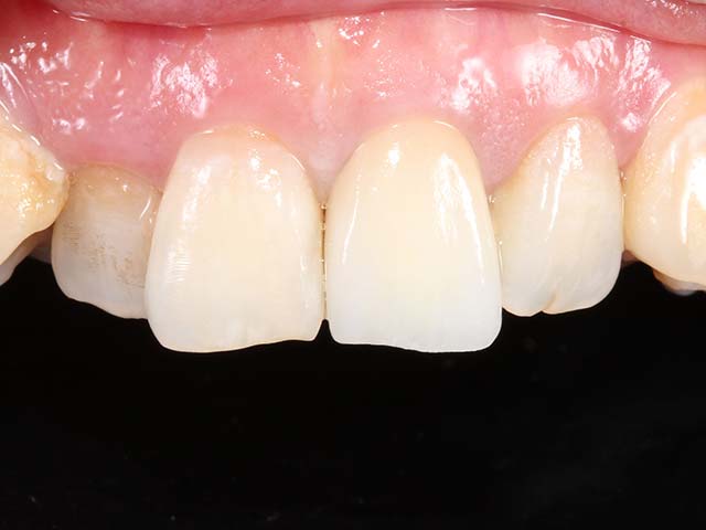
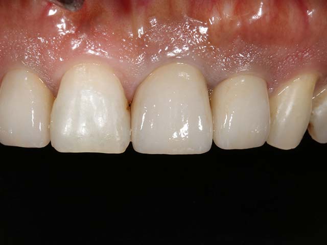
前牙美學 首頁 案例分享 前牙美學 全新3M Lava plus 更多 3M Lava全瓷冠 更多 擬真自然 更多 美學瓷牙貼片 更多 牙冠增長術(矯正拉出) 更多 仿真全瓷冠 更多 型態不佳,改變成真 更多 貼片+全瓷冠 更多 牙齦萎縮變色 更多 全瓷冠牙橋 更多 門牙根管治療 更多 前牙排列不整齊 更多 牙周病造成牙齦萎縮 更多 牙齦變色萎縮 更多 陶瓷破裂 更多 «1»