預約門診專線
03-550-8484
/
03-658-3930
關於晴美
診治項目
微創植牙
齒顎矯正
牙周治療
全瓷微笑
牙齒美白
舒眠牙醫
一般牙科
醫療團隊
陳光中醫師
林昇進醫師
楊承澔醫師
何冠道醫師
馬翊婷醫師
高萾珄醫師
許岳棠醫師
案例分享
人工植牙
前牙美學
齒顎矯正
組織增生
咬合治療
設備環境
門診時間
最新消息
線上預約
牙周病造成牙齦萎縮
首頁
案例分享
前牙美學
牙周病造成牙齦萎縮
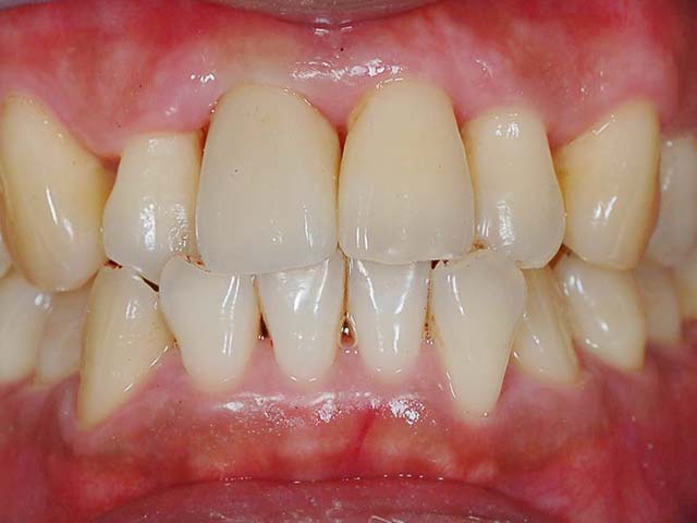
牙周病造成牙齦萎縮
舊式瓷牙不密合,造成牙周病與牙齦萎縮
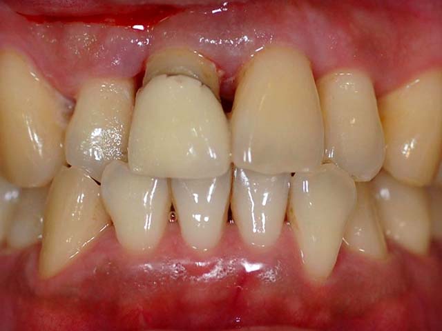
拆除舊牙冠,與使用雷射牙周治療恢復牙齦健康
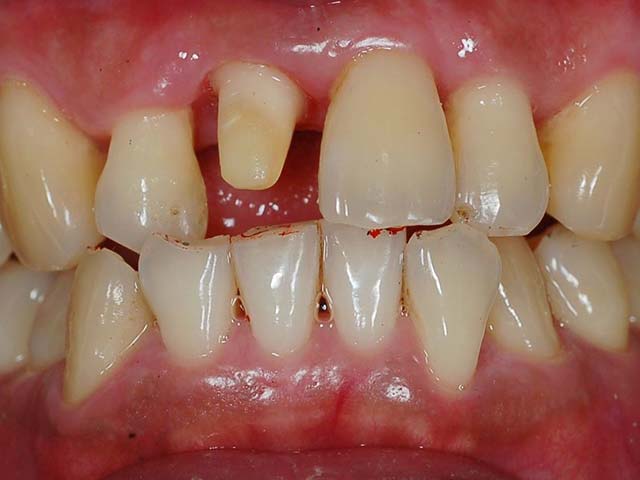
製作全新3M Lava全瓷冠
線上預約