齒顎矯正
We work behind. You smile in front!
矯正也可以偷偷變美麗?!舌側矯正 和 隱形矯正 正流行!
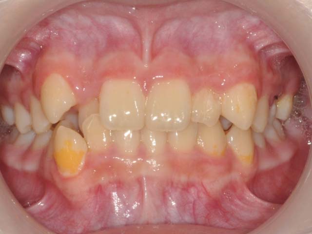
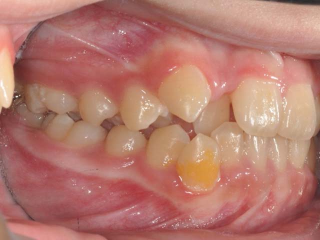
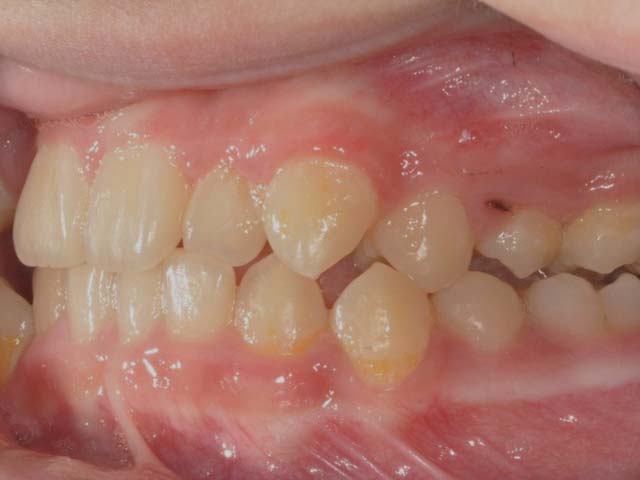
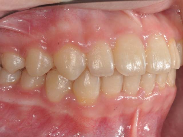
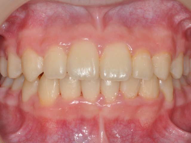
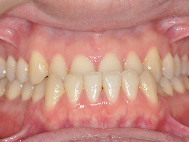
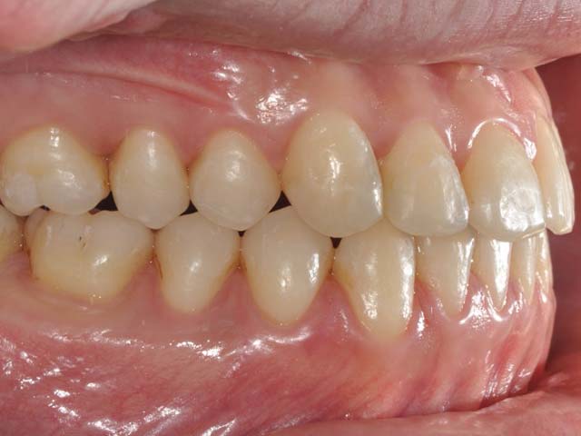
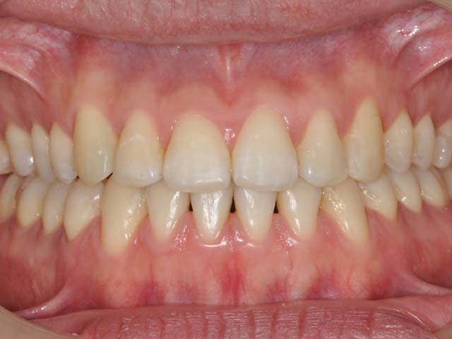
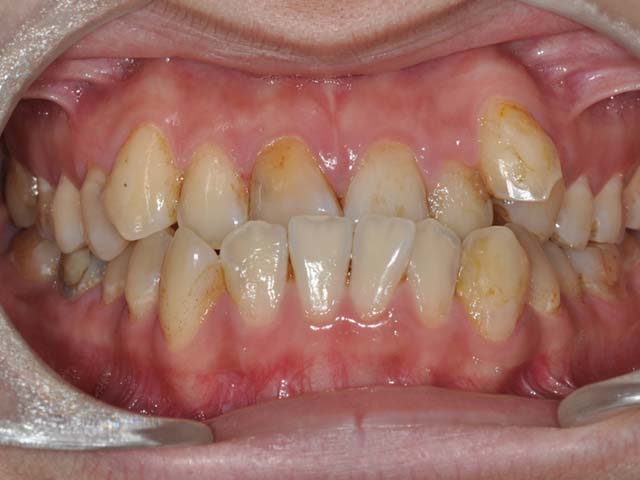
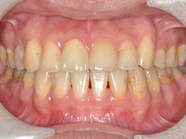
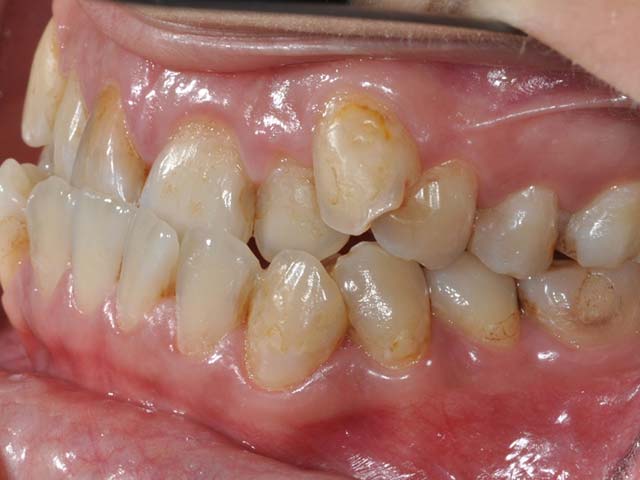
案例分享1
擁擠齒列排整(不拔牙)



十個月治療完成案例



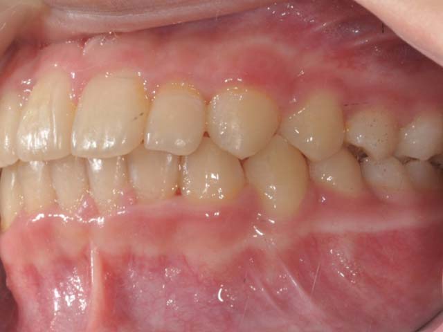
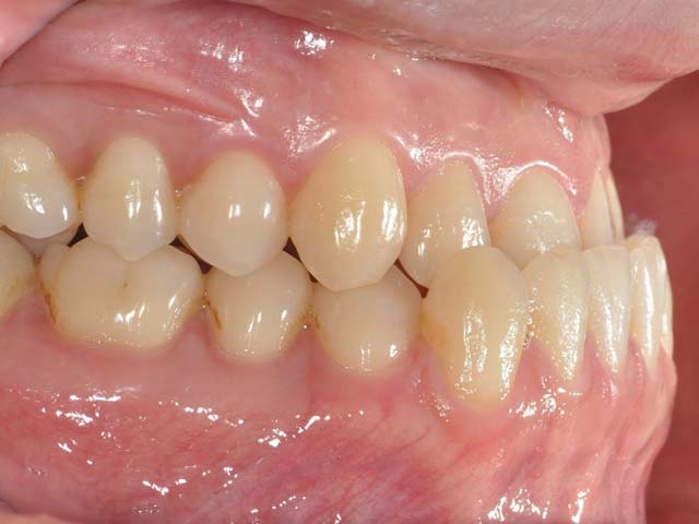
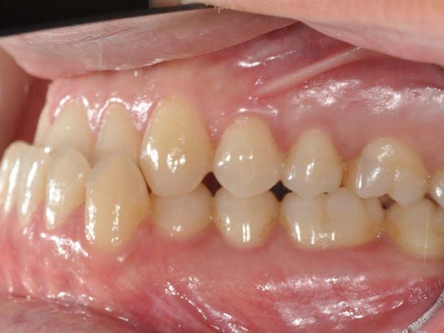
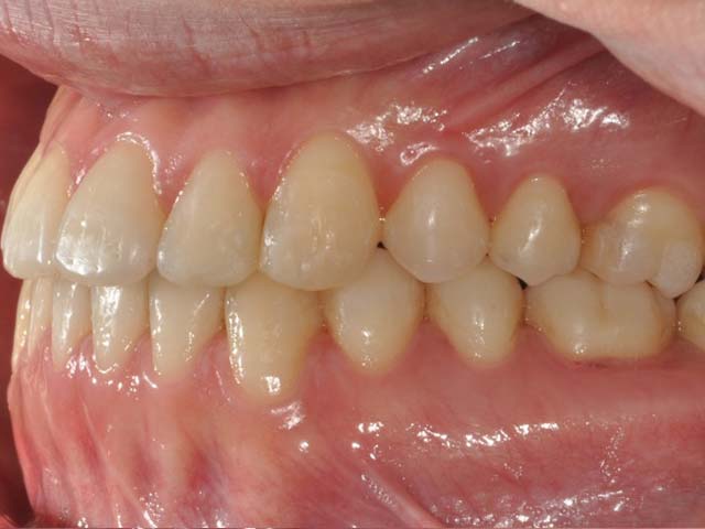
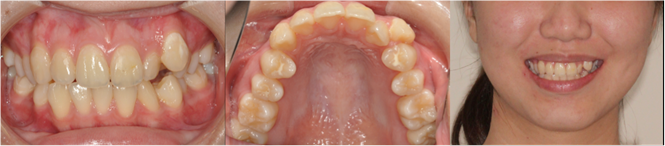
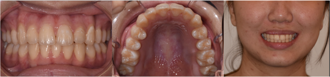
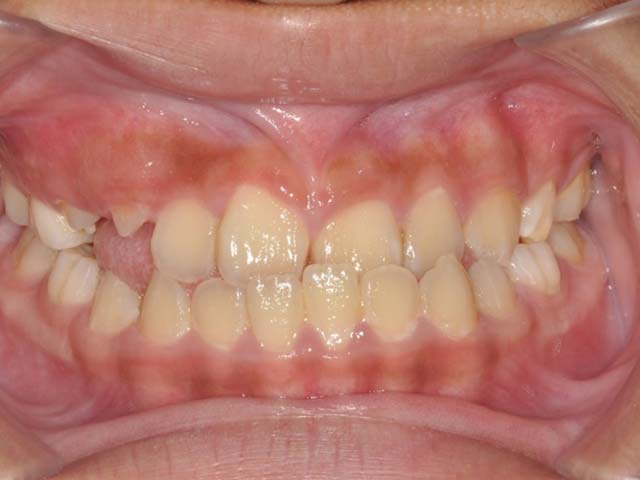
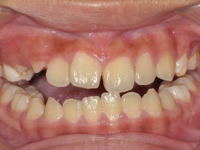
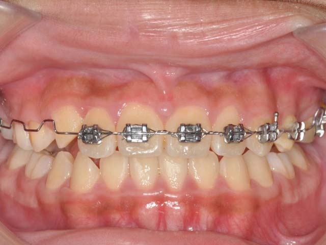
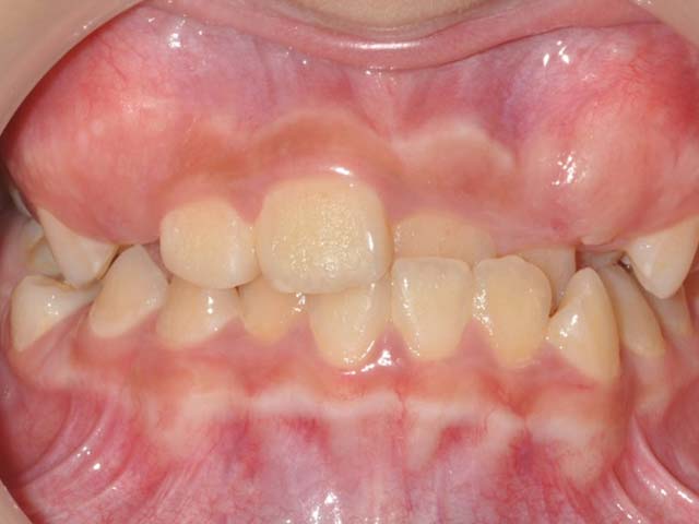
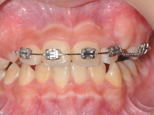
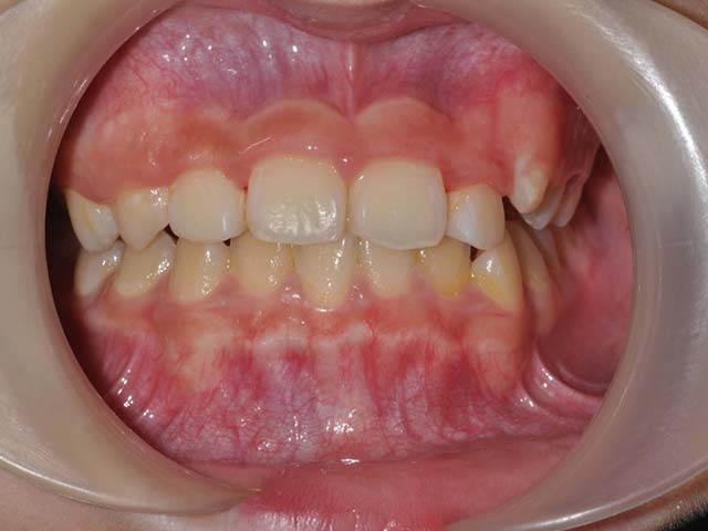
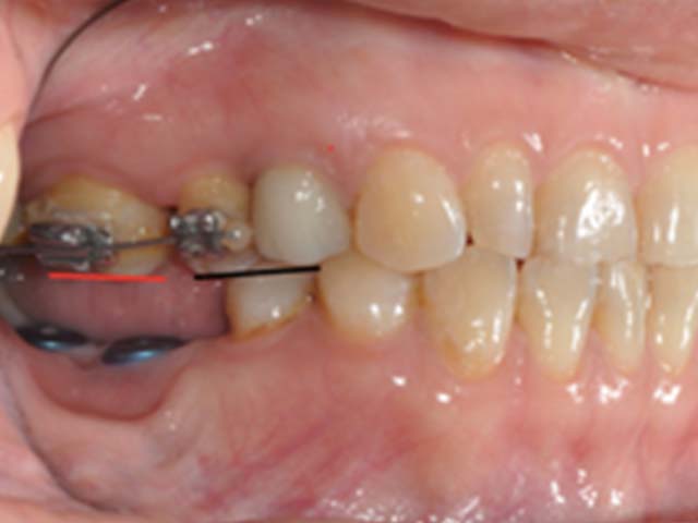
案例分享2
前牙錯咬



九個月治療完成案例



案例分享3
改善暴牙及齒列擁擠(拔牙案例)




案例分享4
改善錯咬及齒列擁擠(拔牙案例)






案例分享5
改善高位虎牙(不拔牙案例)


案例分享6
改善口唇突出及笑齦(拔牙案例)




案例分享7
早期治療 促進下顎發育



案例分享8
早期治療 改善假性錯咬






案例分享9
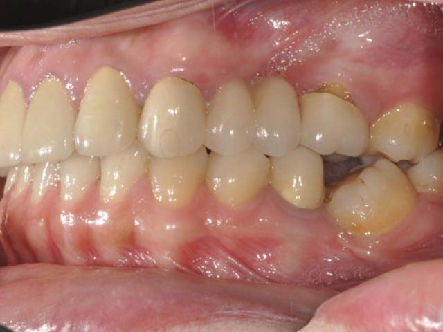
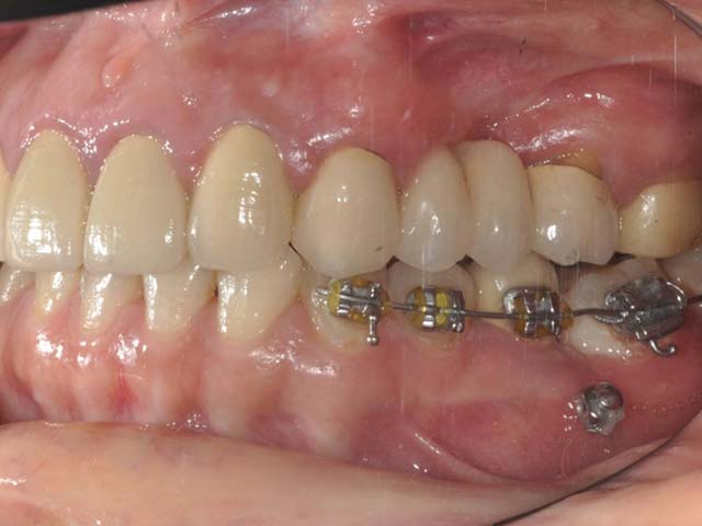
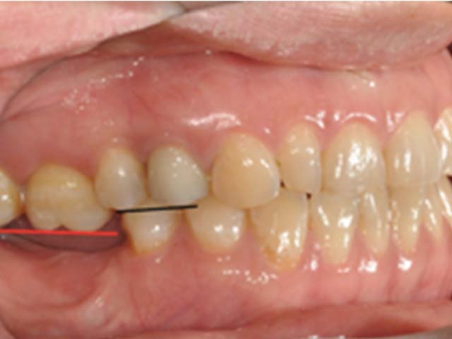
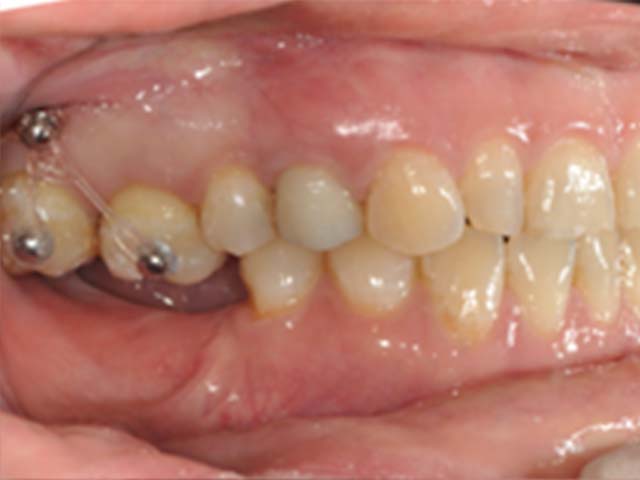
局部治療 扶正前傾後牙


案例分享10
局部治療 上顎後牙上壓提供對側植牙空間


