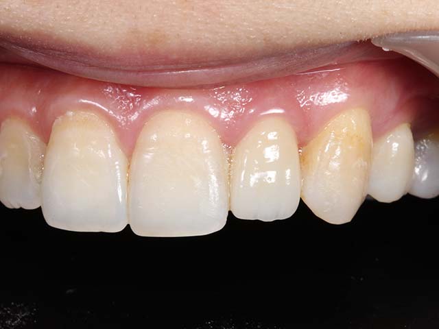
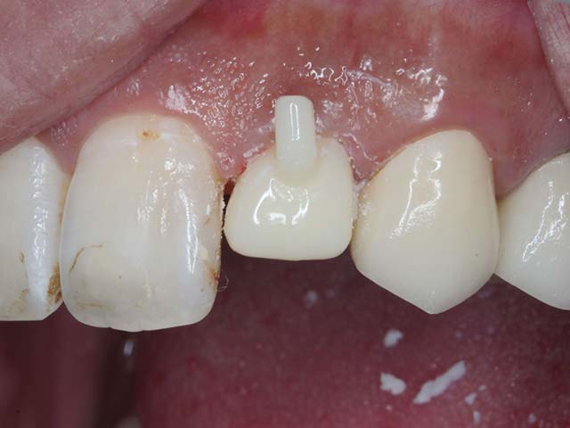
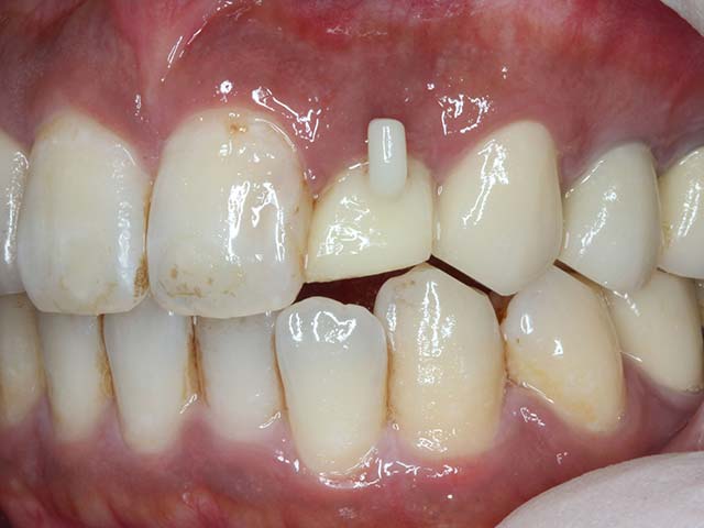
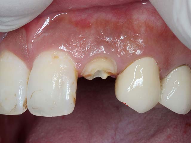
牙冠增長術(矯正拉出) 首頁 案例分享 前牙美學 牙冠增長術(矯正拉出) 牙冠增長術(矯正拉出) 牙齒斷裂,無法直接製作假牙 使用透明柱心暫時重建牙齒結構 使用特製臨時假牙,拉出受損牙齒 局部矯正後,受損牙齒明顯被拉出 使用3M透明柱心 正式假牙