預約門診專線
03-550-8484
/
03-658-3930
關於晴美
診治項目
微創植牙
齒顎矯正
牙周治療
全瓷微笑
牙齒美白
舒眠牙醫
一般牙科
醫療團隊
陳光中醫師
林昇進醫師
楊承澔醫師
何冠道醫師
馬翊婷醫師
高萾珄醫師
許岳棠醫師
案例分享
人工植牙
前牙美學
齒顎矯正
組織增生
咬合治療
設備環境
門診時間
最新消息
線上預約
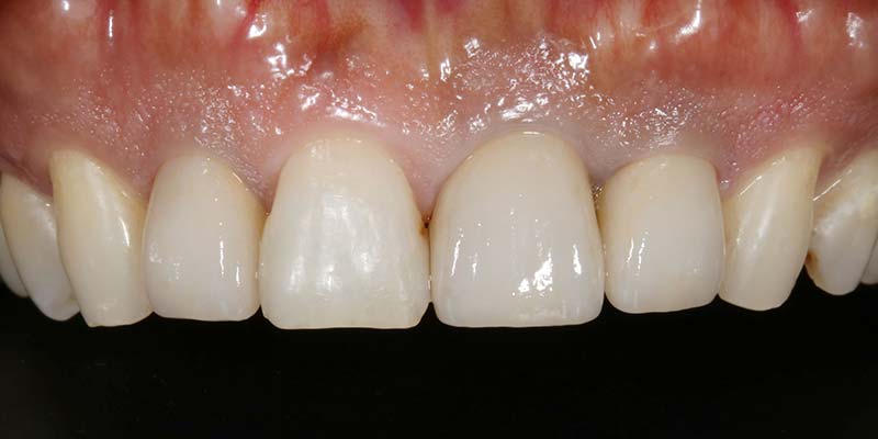
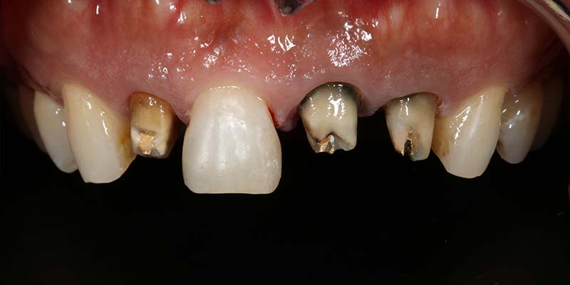
全新3M Lava plus
首頁
案例分享
前牙美學
全新3M Lava plus
全新3M Lava plus全瓷系統
線上預約