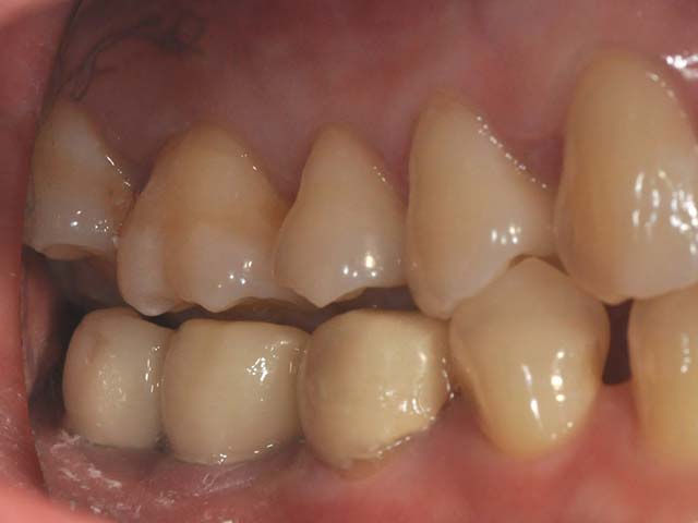
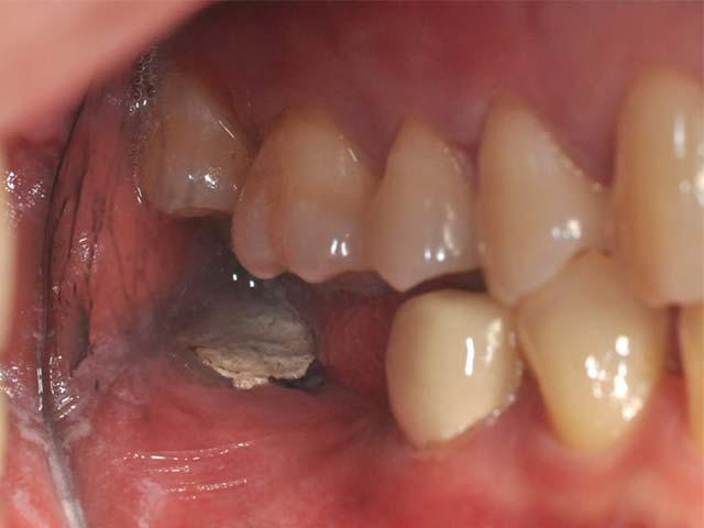
牙橋嚴重蛀牙,即拔即種,避免二次傷口 首頁 案例分享 人工植牙 牙橋嚴重蛀牙,即拔即種,避免二次傷口 多年前製作之牙橋,因為二度齲齒,導致支台齒蛀蝕,而需重新製作 牙橋支臺齒嚴重蛀牙 STEP1.拔除殘根並植入兩根植牙 STEP2.骨粉填補缺損骨頭缺陷 STEP3.三個月後,準備製作正式假牙 STEP4.正式假牙完成