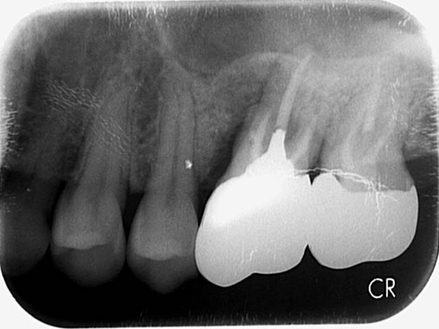
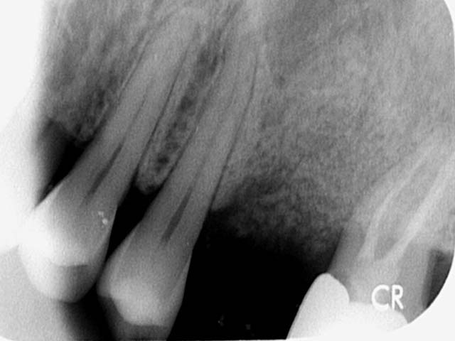
微創植牙 首頁 案例分享 人工植牙 微創植牙 微創植牙 牙周病的牙齒,因為骨頭破壞,只好拔除 拔牙後,置入骨粉,靜待骨頭癒合 晴美牙醫擁有豐富竹北微創植牙經驗,欲瞭解更多相關知識,可至診療項目-微創植牙頁面。 傷口癒合良好 微創不翻瓣 置入植牙 裝置假牙