前牙植牙
前牙植牙
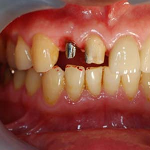
王先生十幾年前的假牙脫落了,一經檢查後右上側門牙蛀掉了, 由於牙齒結構剩下過少無法再製作假牙
即拔即種
經過講解溝通後,選擇使用"即拔即種"微創植牙的處理方式
拔除殘留牙根
測量角度與深度
置入適當位置
骨缺損處,置放骨粉
當日在拔除牙齒後,立即在拔牙窩洞裡,置入適當尺寸的植體,並在使用人工骨粉填塞縫隙。
置入植牙
根尖X光片
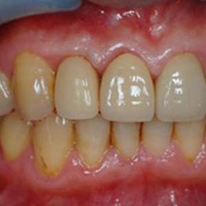
"4個月骨整合完成後,利用植牙支台齒,製作全瓷冠,恢復外觀"
裝戴正式假牙



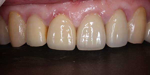
8年追蹤
Before
After