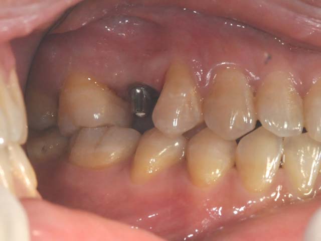
齒槽骨保存術+植牙 首頁 案例分享 人工植牙 齒槽骨保存術+植牙 STEP1拔除掉無法使用的斷裂牙根 STEP2齒槽骨保存術—使用骨粉填補拔牙傷口 術前 V.S 術後 植牙第一階段—植入牙根 植牙第二階段—製作正式假牙