小臼齒植牙
小臼齒植牙
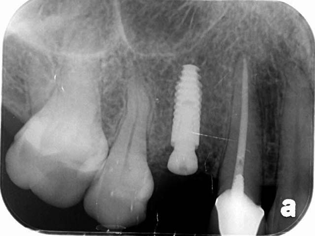
王小姐右上有一顆根管治療後的牙齒,不幸斷裂,經由電腦斷層評估,我們使用新技術,即拔即種,拔除右上第一小臼齒同時植入植體,降低患者手術疼痛感,與節省時間,經由四個月的等待牙齒終於裝置完成,回復正常咀嚼功能,與良好的美觀。
STEP1
STEP2
STEP3
STEP4
完成植牙
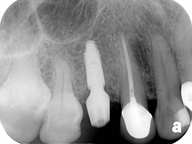
王小姐右上有一顆根管治療後的牙齒,不幸斷裂,經由電腦斷層評估,我們使用新技術,即拔即種,拔除右上第一小臼齒同時植入植體,降低患者手術疼痛感,與節省時間,經由四個月的等待牙齒終於裝置完成,回復正常咀嚼功能,與良好的美觀。
STEP1
STEP2
STEP3
STEP4
完成植牙