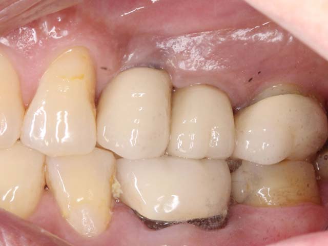
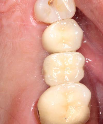
鼻竇增高術(側窗) 首頁 案例分享 人工植牙 鼻竇增高術(側窗) 鼻竇增高術(側窗) 製作多年的牙橋,牙根斷裂,發炎 鼻竇增高術 側面開窗 抬高鼻竇 鼻竇增高術 置入骨粉 覆蓋再生膜,保護骨粉 術後追蹤,傷口良好 裝戴正式假牙 完成 8年追蹤 左上牙根斷裂 植牙重建 九年追蹤