前牙審美植牙
前牙審美植牙
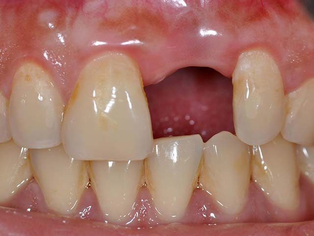
彭小姐於小時候不小心撞斷牙齒了,當時植牙風氣並不盛行,又不想修磨鄰牙,只好以活動假牙替代,導致骨頭吸收,牙齦萎縮。
缺牙10年以上,組織塌陷
植入植牙
術後兩周,傷口癒合良好
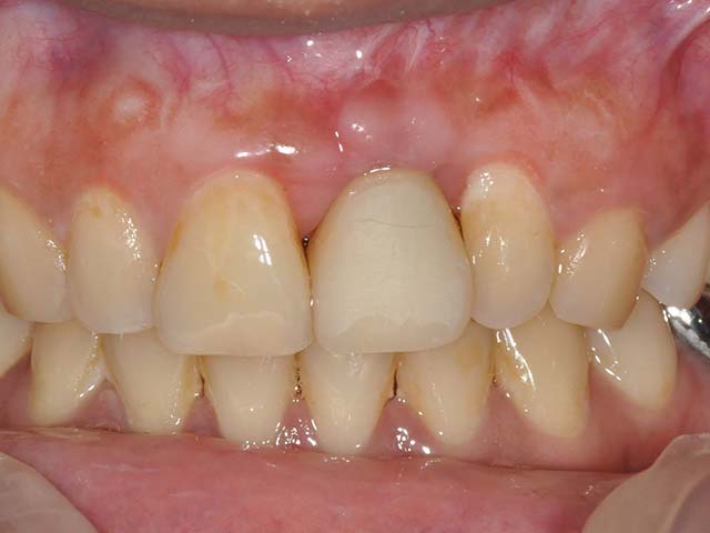
使用臨時假牙,雕塑牙齦
五年追蹤,軟組織保持良好
彭小姐於小時候不小心撞斷牙齒了,當時植牙風氣並不盛行,又不想修磨鄰牙,只好以活動假牙替代,導致骨頭吸收,牙齦萎縮。
缺牙10年以上,組織塌陷
植入植牙
術後兩周,傷口癒合良好
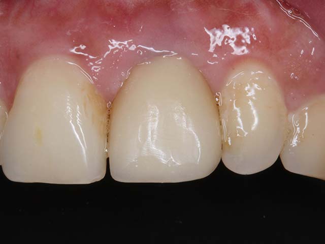
使用臨時假牙,雕塑牙齦
五年追蹤,軟組織保持良好