全瓷牙冠

竹北全瓷冠推薦-3M LAVA全瓷冠
拋棄傳統式金屬假牙,晴美牙醫診所將全瓷冠推薦給您!全瓷冠假牙即是不含有任何金屬層的假牙,3M LAVA全瓷冠由陶瓷切削燒製而成,少了不美觀的金屬感,多了更自然的光澤感。
晴美牙醫採用高等級的3M LAVA plus全瓷冠系統,利用新穎的vita比色機完善的比色驗證,來製作符合美觀與功能的3M LAVA全瓷冠。我們把自然美觀的3M LAVA全瓷冠推薦給您,因為3M LAVA全瓷冠的材質安全、穩定、強度高,能減少破裂受損機率,讓您不用擔心假牙容易發生變質、染色問題,且因陶瓷與人體相容性高,相較於低價金屬材質的刺激風險,全瓷冠也較不易有牙齦萎縮的情形發生。3M LAVA全瓷冠假牙自然美觀,宛如真牙般的白皙光澤感,讓您擁有自信美麗的笑容!
人的全口擁有28顆自然牙(扣除智齒),牙齒就像我們的小孩一樣有時難免受寒感冒,簡單的洗牙、補牙都是預防牙齒疾病與初期治療的方式。牙齒疾病嚴重之時,不得已就必須做假牙來保護牙齒,有時候也可能是為了追求更極致的美觀外表而做假牙,但做假牙前您有仔細思考如何讓假牙做的健康、自然、漂亮嗎?晴美牙醫診所把安全耐用又自然的全瓷冠推薦給您!3M LAVA全瓷冠是符合您理想的假牙。
理想的全瓷冠推薦假牙設計應該考慮到,以下幾點:
- 材質安全性—材料不能危害身體健康,長期接觸身體更應該注意材質品質
- 材質穩定性—口腔內的環境千變萬化,冬天吃鍋,夏天吃冰,冷熱酸鹼不定期交換循環,就像車子在拉力賽中,面臨如此嚴苛環境,材質是否耐得住?
- 材質美觀性—材料的最低需求是安全與穩定,更進一步的要求當然就是牙齒顏色樣貌都要能自然呈現,襯托出臉型與微笑的美麗曲線。
3M LAVA全瓷冠是近年來牙醫界及病患接受度越來越高的固定假牙材質
3M LAVA全瓷冠系列與傳統假牙,最大的不同來自於內襯,3M LAVA全瓷冠假牙不含任何金屬,主要以氧化鋯作為內襯的3M LAVA全瓷冠,光線的穿透性不受內層金屬的影響,在口腔潮濕的環境中,擁有不易銹蝕變質、出色的穩定度,不因冷熱食物的交替而刺激牙隨神經,也因為3M LAVA全瓷冠絕佳的組織親和度,讓牙齦組織非常喜歡它,從此賴在它身上不走,所以也較不易有牙齦萎縮的情形。全瓷冠推薦您晴美牙醫,豐富治療經驗,替您製作美觀與功能性兼具、自然舒適的3M LAVA全瓷冠。


我們採取高等級的3M LAVA plus全瓷冠系統,而且利用新型的vita比色機完善的比色驗證,來製作符合美觀與功能的全瓷冠。竹北全瓷冠推薦您晴美牙醫。





全瓷冠案例一:
李小姐長期以來,牙齦刷牙都會流血,並且門牙假牙有一條黑線,在同事面前都不敢笑。診斷為 : 牙周病合併舊假牙邊緣銹蝕,先拆除舊假牙,並輔以雷射牙周治療後,並修復牙齦染色後,以3MLAVA全瓷牙冠,恢復美觀,從此之後李小姐就可以開懷大笑了。



全瓷冠案例二:
林小姐幼時所製作的金屬瓷牙冠,因為金屬滲漏,導致邊緣染色,內側蛀蝕,拆開清除齲齒及牙周治療後,恢復健康後再使用3M LAVA全瓷冠回復美觀。
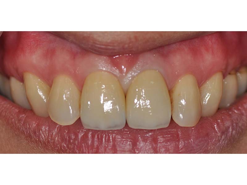
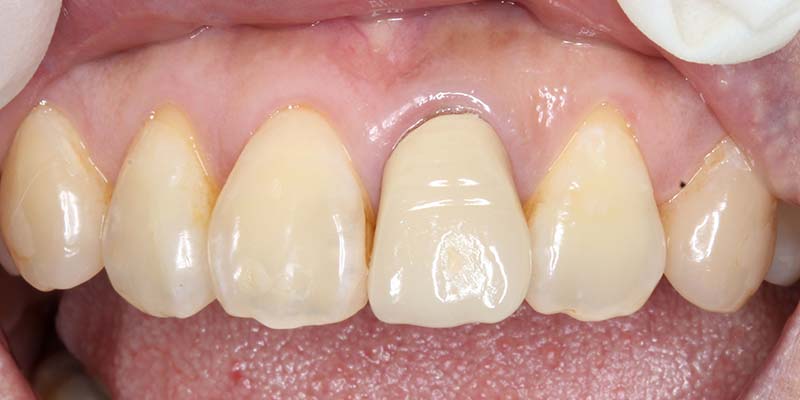
病人不滿意舊牙套的美觀,看起來牙齒呆呆的
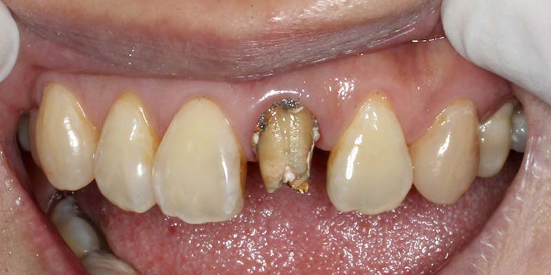
拆除舊牙套,移除蛀牙
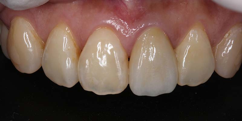
3M Lava全瓷冠