全瓷貼片
人工法瑯質-陶瓷貼片
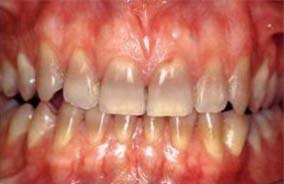
利用高屈張強度的特殊陶瓷,製作成薄博的鑲嵌貼片,黏著覆蓋有缺陷的門齒,恢復法瑯質應有的色澤與外型。嚴重四環黴素染色,造成牙齒極不美觀,美白效果欠佳,建議使用陶瓷貼片改善
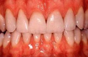
除此之外,我們也可以改變牙齒的型態與美觀,此例門牙有裂痕伴隨牙齒缺角,使用 E-max Vaneer(陶瓷貼片),印製模型後先使用預先製作的臨時假牙 維持外觀一個禮拜後,裝戴正式全瓷貼片就可以開懷大笑了
利用高屈張強度的特殊陶瓷,製作成薄博的鑲嵌貼片,黏著覆蓋有缺陷的門齒,恢復法瑯質應有的色澤與外型。嚴重四環黴素染色,造成牙齒極不美觀,美白效果欠佳,建議使用陶瓷貼片改善
除此之外,我們也可以改變牙齒的型態與美觀,此例門牙有裂痕伴隨牙齒缺角,使用 E-max Vaneer(陶瓷貼片),印製模型後先使用預先製作的臨時假牙 維持外觀一個禮拜後,裝戴正式全瓷貼片就可以開懷大笑了