3D齒雕
新竹3D齒雕推薦 │ 晴美診所─健康自然又耐用的補牙新選擇
新竹3D齒雕推薦您晴美牙醫,我們有專業的醫療團隊提供您更健康、耐用的補牙新選擇,我們的3D齒雕是以全瓷冠材質所打造,選擇新竹晴美牙醫外觀自然、材質穩定的3D齒雕,改善您牙齒的缺陷、重建您口腔的功能性,讓晴美牙醫做您牙齒上可靠的後援部隊。
我們的新竹3D齒雕技術,是運用目前先進的牙科CAD-CAM設計,以專業的贋復技術整合電腦數位科技應用,精準地為每一位患者客製設計全瓷冠修復體,新竹3D齒雕能夠改善傳統傳統樹酯填補蛀牙的困擾,透過CAD-CAM數位整合運用,可精確計算患者的全瓷冠贋復需求,再利用專屬瓷塊車磨加工,讓牙齒看起來更為自然美觀,材質也接近人體的自然齒。
我們所提供的新竹3D齒雕結構緊密,咬合能力、硬度與耐用度都更勝傳統樹脂,只要是在正常的情形使用下,您比較不需擔心牙齒破裂、脫落等問題產生。
新竹晴美牙醫所打造的每一顆3D齒雕,都是一體成形的設計,我們採用由歐洲進口的瓷材,我們所使用的全瓷冠材質不含金屬成分、不易受熱脹冷縮的影響、與生物相容性高,由3D齒雕所填補的牙齒,接縫處看起來更為自然、也不易被察覺,新竹3D齒雕能夠讓牙齒看起來更美觀、並維持一定的穩定性,是您贋復時的理想選擇。
專業新竹陶瓷貼片療程
- 了解病人的需求為何
- 量身訂做臨時假牙
(在假牙試戴前,我們會先依照您的口腔情況,為您處理牙齦變色、牙齦萎縮等問題) - 試戴5~7天的臨時牙冠
- 下一次回診時,我們會依照您的需求在臨時假牙做出適度地調整
- 直到確認臨時牙冠型態達到您的理想狀態後,我們會正式印模安排製作
- 裝上您的專屬陶瓷貼片,重新展現您的自信笑顏
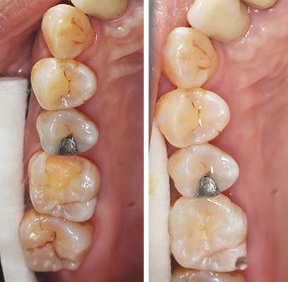
新竹3D齒雕 │ 蛀牙修復
牙縫是一般患者發生蛀牙最易忽略的地方,因為難以被看見
初期蛀牙,可以採取樹酯填補,如以下步驟:




但是樹酯因為強度不足往往一段時間後,產生邊緣龜裂,與二次蛀牙這時候蛀牙範圍往往會比第一次更大,可以使用3D齒雕作修復, 提供牙齒良好的強度與美觀。




傳統金屬材料(銀粉)會熱脹冷縮,而且無法與琺瑯質連結在一起,太大的缺損在填補後經過一段時間容易與牙齒分開,導致二度蛀牙,導致齒質再破壞。



圖2較大的蛀洞可使用3D齒雕,保存較多牙齒結構,並提供足夠強度的支撐,恢復牙齒型態與功能。


