兒童牙醫
有很多家長往往忽略了乳牙的照顧 , 以為反正乳牙還會換新牙, 殊不知乳牙的功能, 除了咀嚼食物, 幫助發音, 維護顏面美觀, 還有誘導恆牙正確萌發的任務。
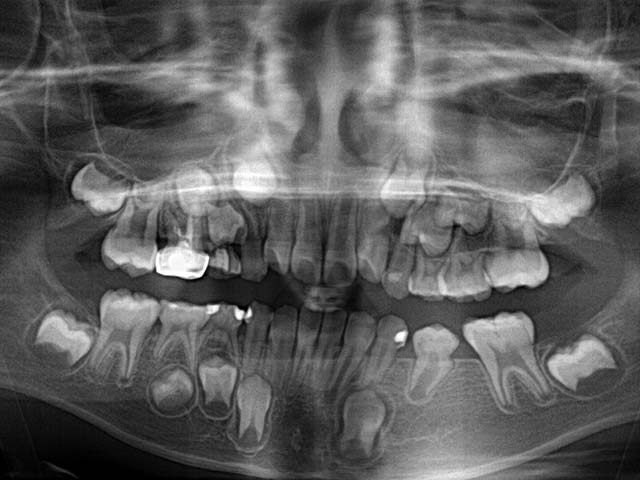
以下可以看到混合齒列期乳牙與恆牙在口內的對應位置

正常混合齒列

乳牙嚴重齲齒導致細菌感染輕則引起牙齦囊腫,
更甚者可能引起全身性蜂窩組織炎, .
對抗乳牙齲齒可以從預防保健做起其中又以氟化物的使用最為常見,好處如下:
- 對於發育中的牙齒—氟離子滲入牙齒結構,強化琺瑯質結構,增加牙釉質抗酸能力,強化牙齒體質。
- 對於已萌發的牙齒--氟離子會在牙齒表面形成結晶,促進初形成的蛀牙再礦化,降低傷害速度。
- 降低細菌活性--氟離子在口腔酸性環境中,抑制細菌本身酵素的活性,減少產酸,降低對牙齒的蛀蝕。


因為台灣沒有飲水加氟,所以可以使用氟錠或含氟牙膏強化牙齒


如果乳牙真的不小心蛀牙了,可以早期填補,若真的已經蛀到神經則要趕緊做根管治療,乳牙的牙髓神經和恆牙是各自獨立的,並不會因為這樣影響到恆牙。
而做完根管治療的牙齒,可以選擇使用小鋼牙保護牙齒,避免牙齒斷裂提早脫落。
若真有來不及治療而有乳牙提早脫落的情形,也可以使用空間維持器保護空間,讓恆牙順利萌發。


總之,我們所做的這些努力,就是想讓乳牙可以咀嚼食物, 幫助發音, 維護顏面美觀, 並且誘導恆牙正確萌發。
除此之外,兒童拍攝全口X光片還早期發現一些罕見疾病或先天缺牙如下:
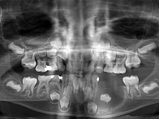
1.左下先天性囊腫及缺牙

2.左下及正中門牙先天缺牙
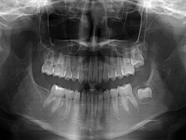
3.右下先天缺牙第二大臼齒