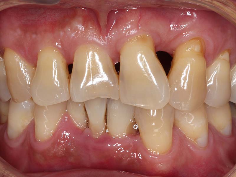
咬合治療 首頁 診治項目 一般牙科 咬合治療 夜間磨牙 牙齒嚴重磨耗,造成法瑯質受損 夜間磨牙,造成臉頰內側軟組織受傷,咬出一道深深的咬痕 使用咬合板治療夜間磨牙 調整咬合到每顆牙齒平均受力,讓牙齒可以在咬合板上”滑動”,而非磨耗自然牙。 咬合板薄度更薄,更舒適、好適應