何謂植牙
1.何謂"人工植牙"?
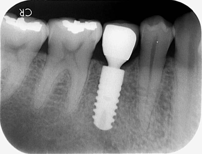
人工植牙是將無菌,可與人體組織緊密結合的鈦金屬牙根,植入齒槽骨中,待齒槽骨與人工牙根產生緊密結合後 (骨整合),即可承載假牙受力,恢復美觀與咀嚼功能,幾乎與自然牙無異。
人工牙根主要以純鈦或鈦合金製成,表面以噴砂,酸蝕或以各家植體專利技術方式處理後,使其表面粗糙,增加骨頭的接觸面積,以利骨細胞生長,由於鈦金屬的生物相容性極佳,不會分解,產生毒素或被排斥,只要給予適當的時間產生骨整合,便可將人工牙根固定於齒槽骨中,進而承載假牙。




2.發展歷史
- 1952 年由瑞典骨科醫師 Branemark 所開始領導;他利用鈦合金柱狀物植入兔子的大腿骨並作顯微鏡觀察,數個月後發現此鈦合金植入物可與骨頭產生癒 合現象,他稱此現象為 Osseointegration (骨整合)。
- 1965 年 Branemark 開始在缺牙病人口中植入人工牙根,並在隨後數年的追蹤發現這些人工植入物可存活在人類口腔中行使正常咬合功能。
- 1981 年 Branemark 搜集足夠臨床數據並證明鈦合金植入物是可行的方法。
至今全世界已研發出超過二百種以上的植牙系統。
植體表面特殊的噴砂,酸蝕,或雷射處理,創造出粗糙的植體表面。
粗糙的植體表面,可以吸引人體纖維母細胞以及骨細胞附著攀爬,進而造成骨頭沉積。
骨細胞在顯微鏡下,沉積在植體表面,進而可以負擔承載假牙咬合的力量,幫助咀嚼。
3.與時俱進
30幾年來,由於牙醫界已經掌握關鍵性的骨整合,所以開始在治療時間與疼痛控制下功夫,期望能縮短治療時間,降低病人疼痛也可以達到該有的效果,所以現拔現種.微創植牙等新穎名詞相繼出籠。
除此之外,手術技巧與材料的進步,如人工骨粉與再生膜,都可以運用在條件較差的病患身上,提升成功率,讓享受美食不再是一種苛求。


人工植牙與傳統假牙的比較:

人工植牙的優點:
- 不需削磨鄰近自然牙,只需要在缺牙處植牙。
- 可維持缺牙區牙齒底下的齒槽骨高度,而不會因為缺牙而萎縮。
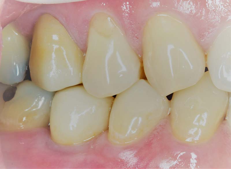
- 植牙平均受力比傳統假牙好,提供更好的支撐,外觀與咬合力量更接近真牙。
- 使用年限比傳統假牙久,也較易清潔保養。
人工植牙的治療流程:
- 徹底檢查—因為牙齒疾病或意外造成缺牙時,利用電腦斷層準確分析齒槽骨與軟組織(牙齦)的條件,擬定治療計畫
- 植牙—將植體植入牙床內,約3~6個月後,等待骨細胞和植體產生骨整合。
- 置入支檯齒—植體和骨頭產生骨整合後,挑選適合牙齒咬合的支檯齒,然後委由專業的牙技師製作假牙。
- 裝上假牙—假牙製作完成後,利用螺絲或黏合方式固定假牙,並調整咬合。
- 定期回診—療程完成後,需要定期回診觀察,讓植體可以長長久久哦。






